华南首例|中山大学附属第一医院吴钟凯教授团队成功应用佰迈思®限位可扩生物瓣完成华南首例植入

发布时间:2024-01-07

2024年1月3日,中山大学附属第一医院吴钟凯教授团队完成一例 “冠状动脉旁路移植,主动脉瓣、二尖瓣置换”复杂联合手术,将患者冠脉病变,主动脉瓣病变以及二尖瓣病变全部解决。术中在主动脉瓣和二尖瓣瓣位成功植入2枚佰迈思®限位可扩张生物瓣。这是佰迈思®限位可扩张生物瓣在华南的首例应用,也是全球首个具有可扩张功能生物瓣在二尖瓣位的正式临床应用,标志着中国智造的人工生物瓣创新产品占据国际领先地位,具有重大意义。佰迈思®独特的限位可扩设计,未来可进一步通过球囊扩张扩大支架内径,满足患者可能需要的一次或多次经导管瓣中瓣植入的需求,实现生物瓣全生命周期管理。

亚洲色欲色欲大片WWW无码

吴钟凯教授在手术中(右一)


诊疗经过

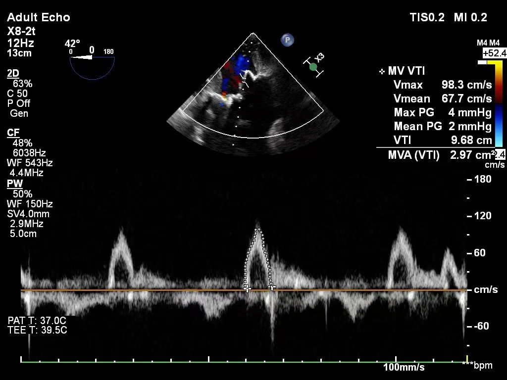
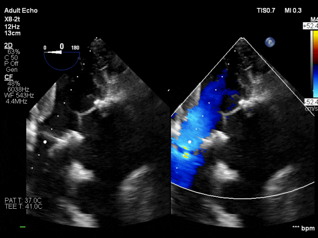
患者男性,68岁,主诉因“活动后胸闷、气促半年”入院,行心脏超声检查提示:主动脉瓣二瓣化畸形、狭窄 (重度)合并关闭不全(中-重度),二尖瓣狭窄并关闭不全(重度),左房明显增大。冠脉造影提示三支血管严重狭窄病变。吴钟凯教授经过周密的术前讨论与部署,联合麻醉科、手术室等多科室强大的协作实力,术中建立体外循环转机,首先完成冠状动脉旁路移植(LIMA-LAD,GSV-LCX; GSV-RCA);二尖瓣位植入M27佰迈思®限位可扩张二尖瓣生物瓣,主动脉瓣位置入A21佰迈思®限位可扩张主动脉瓣生物瓣。心超提示:冠心病CABG+DVR术后,人工主动脉瓣及人工二尖瓣功能良好,人工主动脉瓣测其平均压差5mmHg,人工二尖瓣测其平均压差3mmHg。瓣膜功能表现出色,患者术后恢复良好。


亚洲色欲色欲大片WWW无码

 术中植入27#佰迈思®二尖瓣


亚洲色欲色欲大片WWW无码

术中植入21#佰迈思®主动脉瓣


亚洲色欲色欲大片WWW无码

亚洲色欲色欲大片WWW无码
“一站式手术”+“生物瓣全生命周期管理”
                                                                                                                                                                                                                                                

瓣膜病合并冠心病需同期处理瓣膜和冠脉的患者越来越多,对于这类高危病患,手术操作更复杂,对术者提出了更高的要求。本例患者病情复杂,“冠状动脉旁路移植,主动脉瓣、二尖瓣置换” 一站式手术,将患者冠脉病变,主动脉瓣病变以及二尖瓣病变全部解决。


生物瓣相比于机械瓣可以为患者带来更好的生活质量,减少抗凝相关并发症。随着经导管瓣中瓣技术日趋成熟,解决了生物瓣后期衰败需要再次开胸手术的问题,但并非所有的生物瓣损毁后行瓣中瓣治疗都能获得理想治疗效果。很多患者尤其是小尺寸瓣膜,将面临瓣膜开口面积不足的问题,这一点在中国瓣膜病患者上尤为突出。


中国瓣膜病患者风心病(二尖瓣)病变的占比高,二尖瓣植入型号偏小。且风心病患者发病年龄偏低,二次甚至更多次接续瓣中瓣治疗需求高。然而,国内外现有的二尖瓣生物瓣膜品牌均不具备瓣环扩张技术。佰迈思®限位可扩张生物瓣是佰仁医疗针对该难点自主研发生产的创新产品,相比于目前市场上只能提供主动脉瓣可扩张功能的昂贵进口产品,该产品提供了主动脉瓣、二尖瓣、三尖瓣多个瓣位的可扩张外科生物瓣,不仅在植入后即提供卓越的耐久性和优异的血流表现,在未来多年后若发生瓣膜毁损行瓣中瓣治疗时,通过介入球囊可以扩开该产品的瓣环,使其直径和瓣口面积进一步增大,以便于容纳更大规格的瓣中瓣植入,优化治疗效果。


以本次手术患者为例,未来可能面临生物瓣损毁后瓣中瓣治疗需求。首次瓣膜置换如果选择传统猪瓣(A21、M27),主动脉瓣未来发生损毁后仅能植入19号瓣中瓣,存在有效开口面积不足而导致PPM(Prosthesis-patient mismatch,人工瓣膜-患者不匹配)的风险。二尖瓣位未来发生损毁后将仅有一次瓣中瓣治疗的机会(二次瓣中瓣植入23号瓣中瓣同样面临PPM风险);而选择佰迈思®限位可扩张生物瓣,通过独特的瓣环可扩张设计,未来首次瓣中瓣治疗可植入更大型号的瓣膜(主动脉瓣位23号中瓣、二尖瓣位29号瓣中瓣),相较于传统生物瓣,可获得更多次接续瓣中瓣治疗机会,提高瓣中瓣治疗效果,助力生物瓣全生命周期管理,为追求生活品质的瓣膜病患者提供更理想的解决方案。


亚洲色欲色欲大片WWW无码


专家简介


吴钟凯    中山大学附属第一医院

中山大学二级教授、一级主任医师、研究员、博士生导师、中山大学附属第一医院心脏外科主任。十四届全国人大代表,中国致公党中央委员,致公党广东省委员会副主任委员,中国工程院院士评审专家库专家,中国医师协会心血管外科医师分会常务委员,中华医学会胸心血管外科分会委员,国家心血管病专家委员会先天性心脏病专委会常委,广东省生理学会心血管委员会创会主任委员,国家杰出青年科学基金获得者,“新世纪百千万人才工程”国家级人才,国务院特殊津贴专家,第十一届广州十大杰出青年,首届中山大学名医。