中国首个“瓣中瓣”临床试验:中山大学附属第一医院吴钟凯教授团队启动佰仁医疗球扩瓣入组

发布时间:2022-01-26

2022年01月24日,中山大学附属第一医院吴钟凯教授团队正式启动佰仁医疗球扩式介入瓣临床试验,并于当天经心尖入路成功完成1例Renato®二尖瓣“瓣中瓣”手术。本研究既是首个正式启动的国产球扩瓣临床试验,也是中国首个介入“瓣中瓣”多中心临床试验。该研究由复旦大学附属中山医院牵头,联合多家国内知名心脏中心参与,具有重大意义。该临床试验目前已完成超百例外科换瓣手术高风险的二尖瓣、主动脉瓣、三尖瓣生物瓣毁损患者入组,即将进入收尾阶段,至今仍保持100%手术成功率,初步随访结果出色。

患者基本情况

患者男性,68岁,因“二尖瓣置换术后7年,胸闷、气促2月余,加重半月”入院,心脏超声示生物瓣损毁,人工二尖瓣重度关闭不全并狭窄,三尖瓣轻-中度关闭不全,主动脉瓣轻度关闭不全;STS评分8.7%,属于外科换瓣手术高风险患者。

术前经详尽评估患者病情,通过CT重建测量瓣环直径、左室流出道面积。结合之前外科换瓣手术入路,最终决定采用经心尖途径行二尖瓣“瓣中瓣”手术,患者既往植入27#爱德华猪瓣,选用25# Renato®球扩式瓣中瓣。手术过程顺利,瓣中瓣植入位置理想,功能表现出色,左室造影及经食道超声观察无明显瓣中及瓣周反流。二尖瓣峰值流速由术前2.1m/s降至1.0m/s,平均跨瓣压差由7.2mmHg降至1.8mmHg。

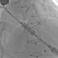
瓣膜释放

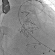
瓣中瓣术后

中山大学附属第一医院吴钟凯教授表示:

生物瓣相比于机械瓣可以为患者带来更好的生活质量,减少抗凝相关并发症,越来越多患者愿意接受生物瓣治疗。随着国内生物瓣应用逐年增加,我们遇到的生物瓣毁损患者数量越来越多,“瓣中瓣”技术使这类患者免于再次开胸手术之苦,有效迅速改善患者瓣膜毁损症状,优势非常明显。虽然国内迄今为止还没有一款正式获批上市的瓣中瓣产品,相信这款受试产品从临床研究开始就可造福于这类患者。

我们通过该病例,充分感受到Renato®球扩瓣实现了精准的定位释放、理想的径向支撑力、出色的血流通过性,操作简便,保证了理想的手术效果,充分体现了球扩瓣的临床优势。我们认为其有效性、安全性和操控性可比肩进口球扩瓣,而且该产品拥有更多的尺寸型号和多样化的输送系统,可适合多种入路需求,对于不同瓣位适应出色,也适合各种不同品牌毁损生物瓣的治疗,期待其早日获批上市,预计应用前景将十分广阔。