发布时间:2021-11-22
2021年11月18日,中南大学湘雅二医院心血管外科刘立明主任、赵元副主任团队,正式启动佰仁医疗球扩式介入主动脉瓣临床试验入组,并全程手术直播。手术过程中,病人突发室颤,手术团队临危不乱,凭借着丰富的经验与准确的判断,在心肺复苏同时立即植入Renatus介入主动脉瓣,最终病人转危为安,手术获得成功。本研究既是首个正式启动的国产球扩式TAVI多中心临床试验,也是继佰仁医疗介入瓣中瓣多中心临床试验后第二个球扩式介入瓣正式临床试验,具有重要意义。
患者基本情况
患者男性,79岁,因“活动后胸闷、气促2年,加重1月”入院,术前心脏超声提示主动脉瓣重度狭窄并轻度关闭不全,主动脉瓣二瓣化畸形,明显钙化。患者心功能差,伴冠心病等多种合并症,STS评分19.8%,属于常规外科手术极高风险病例。CT评估结果显示主动脉瓣重度钙化,Type1型二叶瓣,左右融合,瓣环平均直径26.3mm,瓣环面积543.4mm²。左冠脉开口高度12.5mm,右冠脉开口高度13.4mm,外周血管评估提示股动脉血管条件良好,拟行经股动脉TAVI手术。
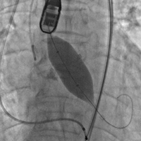
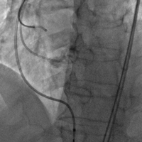
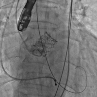
上午11时许,手术直播开始。手术经股动脉入路,使用23#预扩球囊进行跨瓣预扩,预扩后患者突发室颤,血压下降,考虑与患者心功能较差,预扩后反流增加有关。手术团队具有丰富经验,临危不乱,立即予患者电复律、心肺复苏,同时迅速为患者植入一枚25#Renatus介入主动脉瓣,以保证患者左心室-主动脉单向血流。瓣膜植入后,予以补液、血管活性药物治疗,患者血流动力学逐渐稳定,生命体征恢复平稳,术后超声及造影示:瓣膜位置理想,无瓣中返流及瓣周漏,TEE提示主动脉瓣平均跨瓣压差由术前38mmHg降至5mmHg,峰值流速由术前4.3m/s降至1.8m/s。整个手术在一小时内结束,最终获得成功。

球囊预扩 瓣膜释放

术前造影 术后造影
患者在术后6小时拔管,术后48小时即可下地。
患者术后下地
中南大学湘雅二医院赵元副主任表示:
随着中国人口老龄化,瓣膜退行性病变发病率不断升高,以及诊疗水平的提升,主动脉瓣狭窄已成为临床上最常见的心脏瓣膜病之一。对于重度主动脉瓣狭窄,以往外科换瓣一直是标准的治疗方案,随着近年来经导管介入瓣膜技术的发展,越来越多的患者开始接受创伤更小的介入主动脉瓣置换术(TAVI),尤其是对于高龄及常规外科换瓣手术高风险的患者。
基于国际上越来越多的临床结果显示球扩瓣具有更理想的径向支撑力,更低的瓣周漏发生率,更低的术后死亡率,且易于定位操作,目前国际上使用的介入主动脉瓣产品中,球扩瓣份额占据绝对优势。而目前国内除了进口球扩瓣,尚无一款正式上市的国产球扩式介入主动脉瓣系统。佰仁医疗的这款球扩瓣,其有效性、安全性和操控性达到了设计的要求,可比肩进口球扩瓣。而且Renatus介入主动脉瓣拥有更多的尺寸型号,和多样化的输送系统,可根据情况灵活采用经股或经心尖等多种入路来完成瓣膜植入,应用前景更加广阔,在此次手术中,病人由于术前心功能差,术中预扩后出现室颤,我们迅速植入瓣膜,患者血流动力学逐渐稳定,手术获得了成功,积累了新的经验。希望该产品可以早日获批上市,相信一定可以使更多患者受益。