发布时间:2021-09-20
继2021年5月牵头首个国产球扩式介入“瓣中瓣”手术多中心临床试验之后,2021年9月13日复旦大学附属中山医院王春生教授、魏来教授团队再次启动佰仁医疗Renatus球扩瓣经导管主动脉瓣置换术(TAVI)临床试验入组,并应用两种经皮入路(经股动脉、经颈动脉)成功完成3例具有挑战性的复杂二瓣式主动脉瓣畸形患者TAVI手术。
病例1(经股动脉TAVI)
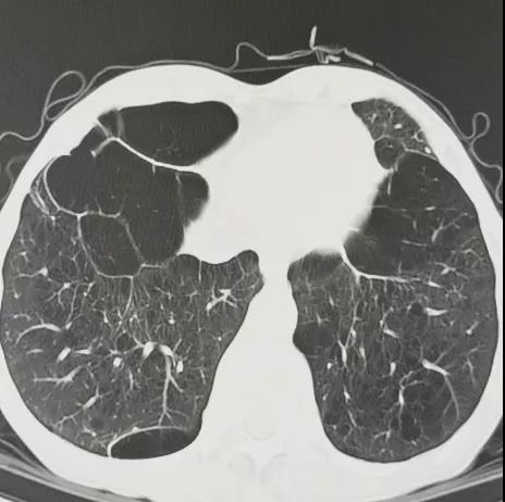
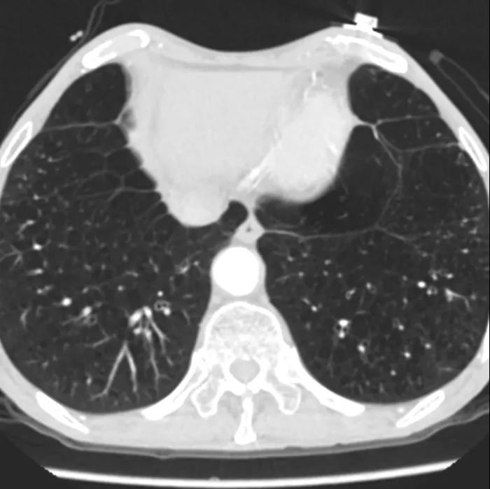
患者男性,67岁,活动后胸闷气促4年余。术前心脏超声提示先天性二叶式主动脉瓣畸形伴极重度狭窄及轻度反流,峰值流速7.1m/s,峰值压差200mmHg,平均跨瓣压差118mmHg,瓣口面积仅0.5cm2。CT评估显示主动脉瓣为Type I型二叶瓣,瓣环面积569.4mm2,测算直径26.9mm。左冠脉开口高度19.4mm,右冠脉开口高度18mm(紧邻右无冠窦交界)。该患者为重度肺气肿伴多发性肺大泡,重度肺功能不全、贫血、低血小板、虚弱,STS评分9.3%,属于外科手术高风险。
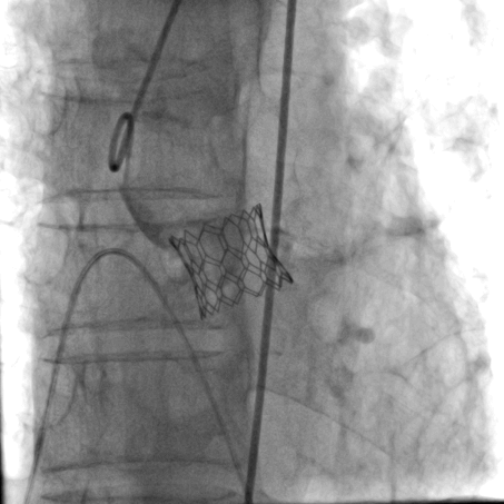
经详尽影像学重建、评估及病例讨论,决定选择经右侧股动脉为主入路,跨瓣成功后先以23#球囊预扩张满意,后植入25# Renatus球扩式介入主动脉瓣,再以24#球囊后扩。手术耗时约1小时,患者全程生命体征平稳,出血极少。介入主动脉瓣植入位置理想,功能表现出色,造影及TEE观察仅轻微瓣周漏,无中央性反流,主动脉瓣峰值流速及平均跨瓣压差分别降至2.3m/s和8mmHg,未发生传导阻滞和冠脉异常。
术后患者恢复快速,无并发症发生,术后第2天康复出院。

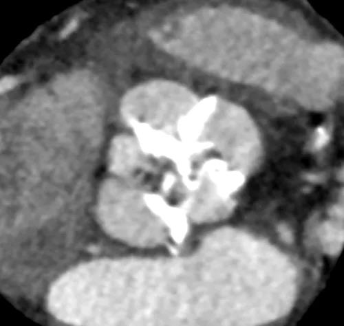
主动脉瓣瓣环 瓦式窦

重度肺气肿、多发肺大泡 二叶瓣畸形伴左右冠瓣粗大融合嵴
外周血管

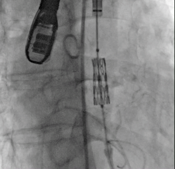
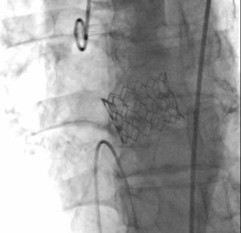
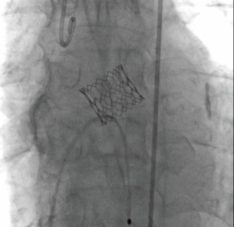
瓣膜释放 主动脉根部造影
病例2(经股动脉TAVI)
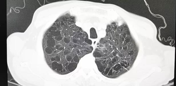
患者男性,66岁,活动后胸闷气促3年,近1年内反复昏厥2次。术前心脏超声提示先天性二叶式主动脉瓣畸形伴重度狭窄、轻度反流,峰值流速4.4m/s,峰值压差89mmHg,平均跨瓣压差57mmHg,瓣口面积0.7cm2,同时心功能差,EF仅30%。CT评估显示主动脉瓣为Type I型二叶瓣,重度钙化,瓣环面积460.4mm2,测算直径24.2mm。左冠脉开口高度14.2mm,右冠脉开口高度13.7mm。患者合并重度肺气肿、多发性肺大泡,且心功能差,STS评分为3.2%,经多学科专家讨论,认为该患者不适合常规开胸外科手术,符合TAVI入组标准。
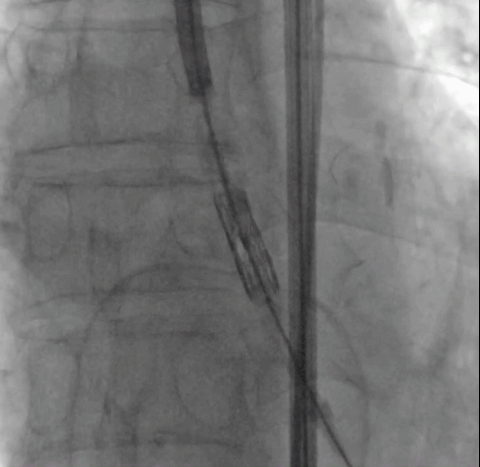
术前经详尽影像学重建、评估及病例讨论,选择右侧股动脉为主入路,跨瓣成功后21#球囊预扩张,再“0位”植入23# Renatus球扩式介入主动脉瓣。手术耗时约1小时,患者全程生命体征平稳,出血极少。介入主动脉瓣功能表现出色,主动脉瓣峰值流速及平均跨瓣压差分别降至2.2m/s和10mmHg,轻度瓣周漏,无瓣中反流,未发生传导阻滞与冠脉异常。
术后患者恢复快速,无并发症发生,术后第2天即康复出院。

主动脉瓣瓣环 瓦氏窦

重度肺气肿、多发肺大泡 股动脉入路评估

瓣膜释放 主动脉根部造影
病例3(经颈动脉TAVI)
患者男性,67岁,头晕伴胸闷、胸痛6月余,术前心脏超声提示主动脉瓣增厚钙化伴重度狭窄,峰值流速4.9m/s,峰值压差94mmHg,平均跨瓣压差59mmHg,瓣口面积0.6cm2。CT显示主动脉瓣为Type I型二叶瓣,瓣叶边缘及左右冠瓣融合嵴严重钙化,致瓣口极度细窄。瓣环面积528.8mm2,测算直径25.9mm,左冠脉开口高度14.4mm,右冠脉开口高度17.5mm。患者合并重度肺气肿、多发肺大泡、支气管扩张,肺功能极差,静息状态下氧饱和度仅约80%,STS评分8.6%,属于外科手术高风险患者。
CT重建显示患者双侧髂动脉、股动脉、锁骨下动脉质量极差,多发钙化狭窄伴局部夹层,无法经股动脉和锁骨下动脉入路。而且患者重度肺气肿致心脏两侧受压,心尖被压缩在胸骨及肋弓骨性融合后方,亦无法经心尖入路。评估双侧颈动脉近端均有钙化斑块伴轻度狭窄,平均管径约6mm,左侧管径略大于右侧。颅内Willis环交通支通畅,可以耐受经单侧颈动脉介入手术。
经术前详尽影像学重建、评估及病例讨论,最终决定在脑氧监测下对患者实施经左侧颈总动脉TAVI手术。术中左侧颈总动脉多次预扩后顺利置入血管鞘至升主动脉,跨瓣成功后先以23#球囊预扩,再“0位”植入25# Renatus介入主动脉瓣。手术耗时约2小时,介入主动脉瓣植入位置理想,功能表现良好,主动脉瓣峰值流速及平均跨瓣压差分别降至1.75m/s和5mmHg,造影及TEE观察仅有轻微瓣周漏,无中央型反流。术后左颈总动脉造影无明显狭窄,手术全程脑氧饱和度正常,无传导阻滞、无冠脉异常。
患者术后即刻清醒,四肢活动正常,无脑卒中及其余并发症发生,术后第4天康复出院。
据了解,该病例为国内首例经颈动脉球扩式TAVI手术。

主动脉瓣瓣环 Type I型二叶瓣

瓣叶及左右冠瓣融合嵴重度钙化 重度肺气肿、多发肺大泡
髂动脉、股动脉状况极差
颈动脉评估

瓣膜“0位”释放 术后主动脉根部造影
复旦大学附属中山医院魏来教授表示:
随着人口老龄化,瓣膜退行性变发病率不断升高,主动脉瓣狭窄已成为老年人最常见的心脏瓣膜病之一。对于重度主动脉瓣狭窄,以往外科换瓣一直是标准的治疗方案,近年来随着经导管介入瓣膜技术的发展,越来越多的患者开始接受创伤更小的介入主动脉瓣置换术(TAVI),尤其对于高龄及常规外科换瓣手术高风险的患者优势更大。
国际上越来越多的临床结果显示球扩瓣具有更理想的径向支撑力、更低的瓣周漏发生率、更低的起搏器植入风险、更低的术后死亡率,且更易于定位操作,因此国际上各类介入主动脉瓣产品中,球扩瓣使用量占绝对优势。
本次入组的3例TAVI患者均是瓣膜结构复杂的二叶式主动脉瓣畸形。这些病例主动脉瓣钙化重、形态不规则,选瓣难度大、定位要求高、并发症概率高。无论对术者的操作要求,还是对介入器械的质量要求,均比正常的三叶式主动脉瓣TAVI要高。本次3例患者手术成功初步证实了Renatus介入主动脉瓣的有效性、安全性和操控性均达到了设计要求,可以攻克主动脉瓣二瓣化畸形所带来的挑战。按照目前同时开展的两项多中心研究的进度和初步效果,佰仁医疗球扩瓣有望成为首款正式上市的国产球扩式介入瓣膜系统。
复旦大学附属中山医院微创心血管外科团队
中山医院微创心血管外科团队是国内心脏瓣膜领域的权威,可为患者提供最专业、合理、安全的微创心脏瓣膜手术全套解决方案,包括药物治疗、胸腔镜手术、机器人手术、小切口手术、以及各种介入瓣膜手术等。
对于符合筛选条件的患者,您也可以自愿加入中山医院微创心血管外科开展的多项介入瓣膜手术免费临床研究项目,涵盖主动脉瓣、二尖瓣、三尖瓣、肺动脉瓣病变的治疗。您不但可以享受到国际最前沿的微创治疗技术,而且将为您的家庭节省大笔开支,同时还将获得我们团队最专业的免费长期随访服务。
专家简介
魏来
复旦大学附属中山医院
复旦大学附属中山医院微创心血管外科主任
复旦大学附属中山医院心外科副主任
上海市心脏瓣膜工程技术研究中心副主任
上海市医学会心脏大血管外科分会副主委
国家心血管病中心微创心血管外科专委会常委兼秘书长
中华医学会胸心血管外科学分会全国委员
中国医师协会心血管外科医师分会全国委员
中国医师协会腔内血管学分会心脏瓣膜病专家委员会副主委
中国医师协会机器人外科医师分会常委
特需门诊:周三上午(中山医院15号楼3楼)
专家门诊:周三下午(中山医院16号楼3楼)