发布时间:2021-09-14
2021年9月11日,西安交通大学第一附属医院闫炀教授、李勇新副教授、姜益主治医师团队正式启动佰仁医疗球扩式介入瓣临床试验,并创造单日单中心成功完成介入瓣中瓣多项新纪录:首日入组即成功完成3个瓣位(主动脉瓣、二尖瓣、三尖瓣)、4种不同入路(经股动脉、经心尖、经右心房、经颈静脉)、5例患者的瓣中瓣手术。本研究既是首个正式启动的国产球扩瓣临床试验,也是中国首个介入瓣中瓣多中心临床试验。该研究由复旦大学附属中山医院牵头,联合多家国内知名心脏中心参与,具有重大意义。
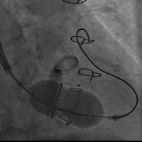
病例一(经右心房三尖瓣瓣中瓣)
患者女性,68岁,既往行三尖瓣生物瓣置换术,二尖瓣机械瓣置换术,三尖瓣位置入佰仁思29#瓣膜一枚。STS评分9.69%,属于外科换瓣手术高风险患者。术前心脏超声示原三尖瓣生物瓣中量反流。术前详尽评估,经股静脉路入同轴性不理想,且右颈静脉既往手术存在瘢痕狭窄,故术中选择腋下小切口途径,通过右心房穿刺植入27# Renato球扩式瓣中瓣,释放成功后瓣膜功能良好,无明显瓣中及瓣周反流,平均跨瓣压差0.5mmHg。
瓣膜释放
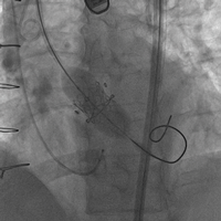
病例二(经心尖二尖瓣瓣中瓣)
患者女性,60岁,既往行二尖瓣生物瓣置换术,置入HANCOCK II 25#瓣膜一枚。STS评分8.18 %,属于外科换瓣手术高风险患者。术前心脏超声示原二尖瓣生物瓣衰败,瓣叶明显脱垂,关闭极差,可及大量反流。术前充分评估,经心尖途径植入23# Renato球扩式瓣中瓣,释放成功后瓣膜功能良好,无明显瓣中及瓣周反流,平均跨瓣压差2.6mmHg。

瓣膜释放 术后左室造影
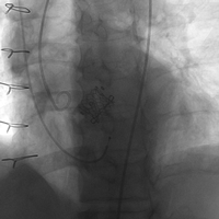
病例三(经心尖二尖瓣瓣中瓣)
患者女性,78岁,既往行二尖瓣生物瓣置换术,置入HANCOCK II 27#瓣膜一枚。STS评分26.93 %,属于外科换瓣手术极高风险患者。术前心脏超声示原二尖瓣生物瓣衰败,瓣叶明显增厚、变形,关闭极差,可及大量反流。术前充分评估,经心尖途径植入25# Renato球扩式瓣中瓣,释放成功后瓣膜功能良好,无明显瓣中及瓣周反流,平均跨瓣压差2.6mmHg。

术前左室造影 术后左室造影
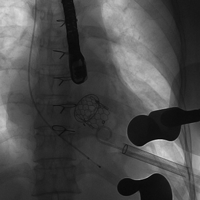
病例四(经颈静脉三尖瓣瓣中瓣)
患者女性,69岁,既往行三尖瓣生物瓣置换术,置入HANCOCK II 29#瓣膜一枚。STS评分11.75%,属于外科换瓣手术高风险患者。术前心脏超声示原三尖瓣生物瓣衰败,瓣叶脱垂,三尖瓣轻度狭窄并中量反流。术前详尽评估,经股静脉路入同轴性不理想,故术中选择经右颈静脉途径植入27# Renato球扩式瓣中瓣,释放成功后瓣膜功能良好,无明显瓣中及瓣周反流,平均跨瓣压差2.8mmHg。

瓣膜释放 术后右室造影
病例五(经股动脉主动脉瓣瓣中瓣)
患者男性,71岁,胸痛、气短半年,近一月加重,既往行主动脉瓣生物瓣置换术,置入HANCOCK II 21#瓣膜。术前心脏超声示主动脉瓣生物瓣衰败,主动脉瓣重度狭窄并中度关闭不全,峰值流速3.8m/s,平均跨瓣压差23mmHg。STS评分8.046%,属于外科换瓣手术高风险患者。术中经股动脉途径植入19#Renato球扩式瓣中瓣,释放成功后瓣膜功能良好,无瓣周漏及瓣中反流。峰值流速降至2.5m/s,平均跨瓣压差降至12mmHg。

瓣膜释放 术后主动脉根部造影无反流
西安交通大学第一附属医院闫炀教授表示:
生物瓣相比于机械瓣可以为患者带来更好的生活质量,减少抗凝相关并发症,越来越多患者愿意接受生物瓣治疗。随着国内生物瓣应用逐年增加,我们遇到的生物瓣毁损患者数量越来越多,“瓣中瓣”技术使这类患者免于再次开胸手术之苦,有效迅速改善患者瓣膜毁损症状,优势非常明显。虽然国内迄今为止还没有一款正式获批上市的瓣中瓣产品,相信这款受试产品从临床研究开始就可造福于这类患者。
对于佰仁医疗的Renato介入式瓣中瓣系统,闫炀教授认为通过本次不同瓣位、不同入路的多个病例尝试,初步应用已经证实其有效性、安全性和操控性出色,球扩瓣定位精准,技术容易掌握。并且Renato介入瓣中瓣拥有更多的尺寸型号,输送系统调弯更灵活。今天的5例患者,应用了经股动脉、右心房、颈静脉、心尖四个不同途径植入主动脉瓣、二尖瓣、三尖瓣“瓣中瓣”。可以适应性不同瓣位、多种路入途径,解决临床上遇到的各种情形的生物瓣毁损问题,预计应用前景更加广阔。