发布时间:2021-05-31
2021年5月25日,复旦大学附属中山医院王春生教授、魏来教授牵头的佰仁医疗球扩式介入瓣临床试验正式启动。第一例为经心尖入路二尖瓣“瓣中瓣”手术,第二例为经颈静脉入路三尖瓣“瓣中瓣”手术,该病例也是国内首例经颈静脉途径介入“瓣中瓣”手术。结合前期探索性研究,至此佰仁医疗Renato介入瓣中瓣系统已经成功通过4种路径完成了3个不同瓣位的介入治疗,表现堪称“全能”。
二尖瓣病例:
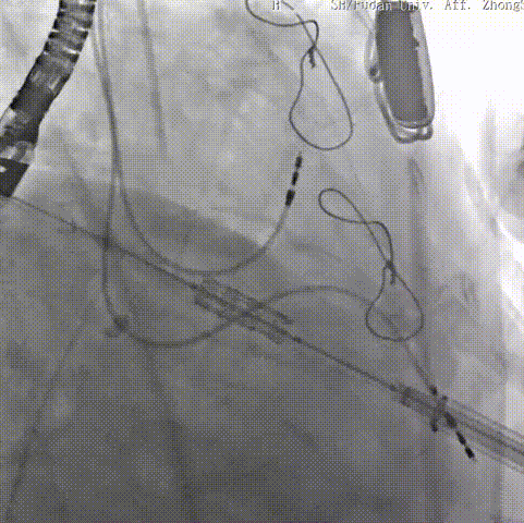
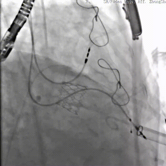
患者女性,73岁,既往二尖瓣位植入27# Epic猪瓣,超声提示二尖瓣人工瓣膜衰败伴重度关闭不全,瓣叶连枷。该患者还合并重度贫血、低白细胞、低血小板、多囊肝、多囊肾、永久起搏器植入术后、心功能NYHA III级、营养状况极差,术前STS评分12.1%,属于常规外科手术极高风险患者。术前经详尽影像学评估及病例讨论,考虑到患者既往经房间隔切开植入二尖瓣人工瓣膜,房间隔疤痕钙化严重增加穿刺手术风险,决定采用更安全的经心尖途径植入27号Renato球扩式瓣中瓣。
手术耗时约1小时,全程生命体征平稳,几乎无出血。瓣中瓣植入位置理想,功能表现出色:左房压自术前50/15/27mmHg降至21/11/15mmHg,二尖瓣平均流速自2.2m/s降至1.4m/s,二尖瓣平均跨瓣压差自6mmHg降至3mmHg。

▲球扩二尖瓣 ▲左室造影
三尖瓣病例:
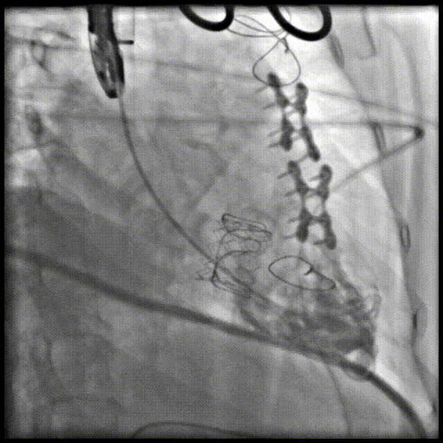
患者女性,62岁,既往三尖瓣位植入29# SAV猪瓣,超声提示三尖瓣人工瓣膜衰败,压差升高伴重度关闭不全。患者合并房颤伴长间歇、巨大右房、右心功能差,经独立专家委员会评判该患者属于外科手术高风险。术前经详尽影像学测量及多学科讨论,反复模拟分别经股静脉及经颈静脉入路输送瓣中瓣至三尖瓣的角度后,发现经右侧颈静脉入路瓣膜输送角度更理想。
手术顺利,经右颈静脉入路成功植入27号Renato球扩式瓣中瓣。瓣膜植入位置理想,无瓣周漏及中央返流。经查阅现有资料,经颈静脉路径成功完成三尖瓣“瓣中瓣”治疗在国内尚属首例。

▲球扩三尖瓣 ▲右室造影
同心共济 重获新生
▼▼▼
两名患者均术后恢复理想,术后2小时即拔除气管插管,临床症状明显改善。术后第3天双双出院。
复旦大学附属中山医院魏来教授表示:
近几年国内每年生物瓣应用超过2万例,且逐年增加,生物瓣毁损患者的数量也越来越多,“瓣中瓣”技术可以使这类患者免于再次开胸手术之苦,大大减少创伤、降低手术风险,优势非常明显。但国内迄今为止还没有一款正式获批上市的瓣中瓣产品。本研究是中国首个介入“瓣中瓣”多中心临床研究,具有重大意义。
佰仁医疗与复旦大学附属中山医院心外科王春生教授团队历时多年合作研发的球扩瓣及可调弯输送系统是“医工合作、自主研发”的成功典范。我们先后尝试了经股动脉、股静脉、颈静脉、心尖四个不同途径植入主动脉瓣、二尖瓣、三尖瓣“瓣中瓣”,并且经历了治疗来自三种不同品牌毁损的生物瓣,我感觉其有效性、安全性和操控性可比肩进口球扩瓣。而且Renato介入瓣中瓣拥有更多的尺寸型号,输送系统调弯更灵活,对于不同瓣位适应性良好,预计应用前景更加广阔。
我们前期与郑大一附院冯德广教授合作应用佰仁球扩瓣的探索性工作成果已被国际顶级心血管病期刊European Heart Journal(IF 23)接受,证明了国际主流学术界对我们工作的认可。希望该临床试验能早日顺利完成,相信一定可以使更多患者受益。
球扩瓣膜 蓄势待发
▼▼▼
佰仁医疗Renato介入瓣中瓣系统,采用全球主流的球扩式设计,瓣架高度与外科瓣类同、径向支撑力强,输送安全、定位精准,易于释放,适合于不同瓣位及不同入路的瓣中瓣手术。该瓣膜的设计与工艺实现了以本企业成熟的外科牛心包瓣同样的启闭模式与血流动力学特性,特别是加速疲劳测试验证了其与外科牛瓣相同的耐久性;采用经长期临床验证的抗钙化改性处理的牛心包为瓣叶材料,使该产品顺利通过全性能注册检验和动物实验验证,目前已启动由复旦大学附属中山医院王春生教授团队牵头,联合国内多家知名心脏中心的正式临床试验。该临床试验正面向社会招募患者,为更多类似需要救治的危重患者提供救治机会。